About Xcube
News
Discover the top news from Xcube.
엑스큐브(Xcube)는 오는 12월 3일 서울 코엑스에서 열리는 'AI×소프트웨이브 2025'에 참가해, 자사의 대표 의료영상 분석 솔루션 'HEXA Pro'를 선보인다.HEXA Pro는 인공지능(AI) 기반 흉부 CT 영상을 자동 분석해 폐, 심장, 간, 갑상선, 유방, 척추 등 주요 장기의 이상 질환을 동시에 탐지하는 차세대 의료영상 솔루션이다.한 번의 CT 촬영만으로 6개 주요 장기를 분석하며, AI가 병변을 색상으로 표시해 이상 부위를 직관적으로 확인할 수 있다.분석 결과는 전자문서 리포트(PDF)와 3D 이미지 형태로 제공되어 의료진이 환자의 상태를 한눈에 파악할 수 있으며, PACS 시스템과 연동되어 진료 현장에서 즉시 활용할 수 있다.
출처 : 전자신문
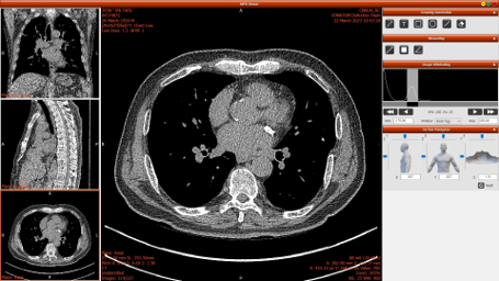
엑스큐브(Xcube)는 오는 12월 3일 서울 코엑스에서 열리는 'AI×소프트웨이브 2025'에 참가해, 자사의 대표 의료영상 분석 솔루션 'HEXA Pro'를 선보인다.
HEXA Pro는 인공지능(AI) 기반 흉부 CT 영상을 자동 분석해 폐, 심장, 간, 갑상선, 유방, 척추 등 주요 장기의 이상 질환을 동시에 탐지하는 차세대 의료영상 솔루션이다.
한 번의 CT 촬영만으로 6개 주요 장기를 분석하며, AI가 병변을 색상으로 표시해 이상 부위를 직관적으로 확인할 수 있다.
분석 결과는 전자문서 리포트(PDF)와 3D 이미지 형태로 제공되어 의료진이 환자의 상태를 한눈에 파악할 수 있으며, PACS 시스템과 연동되어 진료 현장에서 즉시 활용할 수 있다.
출처 : 전자신문